Клинический случай «МР-негативной» миелопатии на фоне инфекции SARS-CoV-2
https://doi.org/10.22328/2413-5747-2023-9-4-97-106
Аннотация
ВВЕДЕНИЕ. Неврологические осложнения нередко наблюдаются у пациентов с новой коронавирусной инфекцией. Среди них преобладают цереброваскулярные заболевания, встречаются поражения периферической нервной системы и спинного мозга различного характера, в том числе воспалительные и сосудистые миелопатии. Частота синдрома миелопатии среди всех неврологических осложнений новой коронавирусной инфекции достигает 3 %.
ЦЕЛЬ. Охарактеризовать клинико-инструментальные особенности редкого случая – «МР-негативной» миелопатии на фоне инфекции SARS-CoV-2.
МАТЕРИАЛЫ И МЕТОДЫ. В настоящей статье приводится описание клинического случая миелопатии, ассоциированной с COVID-19, без структурных изменений спинного мозга при МР-визуализации с использованием стандартных импульсных последовательностей, однако визуализируемой с помощью спинальной МР-трактографии.
ЗАКЛЮЧЕЧНИЕ. COVID-19 ассоциированная миелопатия – одно из характерных осложнений на фоне новой коронавирусной инфекции. Для верификации «МР-негативного» поражения центральной нервной системы при COVID-19 могут быть использованы расширенные протоколы МРТ-исследования, в том числе перспективный метод – магнитно-резонансная трактография.
Об авторах
Яна Богдановна КушнирРоссия
врач-невролог отделения неврологии № 1
Александр Игоревич Безводинских
Россия
клинический ординатор отделения неврологии № 1
Анастасия Владимировна Владыкина
Россия
клинический ординатор отделения неврологии № 1
Андрей Александрович Готовчиков
Россия
врач-невролог, заведующий отделением неврологии № 1
Наталья Агафоновна Тотолян
Россия
доктор медицинских наук, профессор кафедры неврологии
Список литературы
1. Taquet M., Geddes J. R., Husain M., Luciano S., Harrison P. J. 6-month neurological and psychiatric outcomes in 236 379 survivors of COVID-19: a retrospective cohort study using electronic health records. Lancet Psychiatry, 2021, Vol. 8, № 5, pp. 416–427. doi: 10.1016/S2215-0366(21)00084-5.
2. Cabral G., Gonçalves C., Serrazina F., Sá F. MRI Negative Myelitis Induced by Pfizer-BioNTech COVID-19 Vaccine. J Clin Neurol., 2022, Vol. 18, № 1, pp. 120–122. doi: 10.3988/jcn.2022.18.1.120.
3. Chou S.H., Beghi E., Helbok R., et al. Global Incidence of Neurological Manifestations Among Patients Hospitalized With COVID-19-A Report for the GCS-Neuro COVID Consortium and the ENERGY Consortium. JAMA Netw Open, 2021, Vol. 5, № 4, e2112131. Published 2021 May 3. doi: 10.1001/jamanetworkopen.2021.12131.
4. Barman A., Sahoo J., Viswanath A., et al. Clinical Features, Laboratory, and Radiological Findings of Patients With Acute Inflammatory Myelopathy After COVID-19 Infection: A Narrative Review. American Journal of Physical Medicine & Rehabilitation, 2021, Vol.100, № 10, pp. 919–939. doi: 10.1097/phm.0000000000001857. PMID: 34347629; PMCID: PMC8436817.
5. Abrams R. M. C., Safavi F., Tuhrim S., et al. MRI negative myelopathy post mild SARS-CoV-2 infection: vasculopathy or inflammatory myelitis? J. Neurovirol. 2021, Vol. 27, pp. 650–655. doi: org/10.1007/s13365-021-00986-w.
6. Newcombe V. F. J., Spindler L. R. B., Das T., et al. Neuroanatomical substrates of generalized brain dysfunction in COVID-19. Intensive Care Med, 2021, Vol. 47, № 1, pp. 116–118. doi: 10.1007/s00134-020-06241-w.
7. Дамулин И. В., Струценко А. А. Болезнь (синдром) Маркиафавы—Биньями. Российский медицинский журнал. 2016. Vol. 22, № 6. 332—336. doi: 10.18821/0869-2106-2016-22-6-332-336 [Damulin I. V., Strutsenko A. A. The disease (syndrome) of Marchiafava-Bignami. Medical Journal of the Russian Federation, 2016, Vol. 22, N. 6, pp. 332–336. doi: 10.18821/0869-2106-2016-22-6-332-336 (In Russ.)].
8. Ellul M. A, Benjamin L., Singh B., et al. Neurological associations of COVID-19. Lancet Neurol. 2020, Vol. 19, № 9, pp. 767–783. doi:10.1016/S1474-4422(20)30221-0.
9. Johansson A., Mohamed M.S., Moulin T.C., Schiöth H.B. Neurological manifestations of COVID-19: A comprehensive literature review and discussion of mechanisms. J Neuroimmunol, 2021, Vol. 358, pp. 577658. doi: 10.1016/j.jneuroim.2021.577658.
10. McQuaid C., Brady M., Deane R. SARS-CoV-2: is there neuroinvasion? Fluids Barriers CNS. 2021, Vol. 18, № 1, 32. Published 2021 Jul 14. doi: 10.1186/s12987-021-00267-y.
11. Sungnak W., Huang N., Bécavin C., Berg M., Queen R., Litvinukova M., Talavera-López C., Maatz H., Reichart D., Sampaziotis F., Worlock K.B., Yoshida M., Barnes J.L. HCA Lung Biological Network. SARS-CoV-2 entry factors are highly expressed in nasal epithelial cells together with innate immune genes. Nat Med. 2020, Vol. 26, № 5, pp. 681–687. doi: 10.1038/s41591-020-0868-6.
12. Franke C., Ferse C., Kreye J., Reincke S.M., Sanchez-Sendin E., Rocco A., Steinbrenner M., Angermair S., Treskatsch S., Zickler D., Eckardt K.U., Dersch R., Hosp J., Audebert H.J., Endres M., Ploner J.C., Prüß H. High frequency of cerebrospinal fluid autoantibodies in COVID-19 patients with neurological symptoms. Brain Behav Immun. 2021, Vol. 93, pp. 415–419. doi: 10.1016/j.bbi.2020.12.022.
13. Román G. C., Gracia F., Torres A., Palacios A., Gracia K., Harris D. Acute Transverse Myelitis (ATM):Clinical Review of 43 Patients With COVID-19-Associated ATM and 3 Post-Vaccination ATM Serious Adverse Events With the ChAdOx1 nCoV-19 Vaccine (AZD1222). Front Immunol. 2021, Vol. 12, pp. 653786. doi: 10.3389/fimmu.2021.653786.
Дополнительные файлы
|
|
1. Рис. 1. МРТ грудного отдела спинного мозга с контрастным усилением, 3 Тл. Сагиттальная проекция в режимах: А - Т2-FLAIR; Б – Т1 с контрастным усилением. Аксиальная проекция на уровне Th-10 в режимах: В - Т2-FLAIR; Г –Т1 с контрастным усилением. МР-сигнал от спинного мозга не изменен, структура спинного мозга однородная. Патологического накопления контрастного препарата не выявлено. | |
| Тема | ||
| Тип | author.submit.suppFile.figureAuthorProfileImage | |
Посмотреть
(196KB)
|
Метаданные ▾ | |
|
|
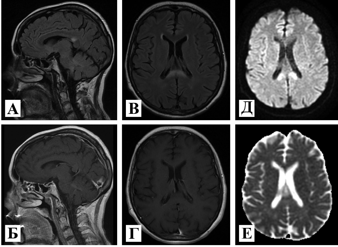
2. Рис. 2. МРТ головного мозга с контрастным усилением, 1,5 Тл. Сагиттальная проекция в режимах: А – Т2-FLAIR; Б – Т1 с контрастным усилением. Аксиальная проекция в режимах; В – Т2-FLAIR; Г – Т1 с контрастным усилением; Д – DWI; Е – ADC. Отмечается зона патологического МР-сигнала в валике мозолистого тела с нечеткими контурами, характеризующаяся частично неоднородным гиперинтенсивным МР-сигналом на Т2-FLAIR, слабо гипо- и изоинтенсивным на Т1 ВИ. При выполнении DWI с b = 1000 отмечается преобладание вазогенного отека с наличием линейной формы участка цитотоксического отека. | |
| Тема | ||
| Тип | author.submit.suppFile.figureAuthorProfileImage | |
Посмотреть
(207KB)
|
Метаданные ▾ | |
|
|
3. Рис. 3. Трактография грудного отдела спинного мозга. В правой половине конуса спинного мозга на уровне Th10 обнаружен очаг снижения фракционной анизотропии | |
| Тема | ||
| Тип | author.submit.suppFile.figureAuthorProfileImage | |
Посмотреть
(142KB)
|
Метаданные ▾ | |
Рецензия
Для цитирования:
Кушнир Я.Б., Безводинских А.И., Владыкина А.В., Готовчиков А.А., Тотолян Н.А. Клинический случай «МР-негативной» миелопатии на фоне инфекции SARS-CoV-2. Морская медицина. 2023;9(4):97-106. https://doi.org/10.22328/2413-5747-2023-9-4-97-106
For citation:
Kushnir Ya.B., Bezvodinskikh A.I., Vladykina A.V., Gotovchikov A.A., Totolyan N.A. Clinical cases of “MR-negative” myelopathy amid SARS-CoV-2 infection. Marine Medicine. 2023;9(4):97-106. https://doi.org/10.22328/2413-5747-2023-9-4-97-106
JATS XML


























