Состояние морфофункциональных систем клетки при действии факторов морского труда: экспериментальное исследование
https://doi.org/10.22328/2413-5747-2024-10-4-54-62
Аннотация
ЦЕЛЬ. Провести морфологический анализ тканей паренхиматозных органов после однократного рентгеновского облучения и при разной интенсивности декомпрессионной венозной газовой эмболии на светооптическом уровне.
МАТЕРИАЛЫ И МЕТОДЫ. Исследование выполнено на экспериментальных моделях: мышах (острая лучевая болезнь, моделированная однократным рентгеновским облучением с летальной поглощенной дозой 7,8 Грей) и морских свинках (острая декомпрессионная болезнь (ДБ) и повторяющаяся декомпрессионная венозная газовая эмболия различной интенсивности). Фрагменты органов экспериментальных животных фиксировали на разных сроках после выведения из эксперимента и обрабатывали по рутинной методике трансмиссионной электронной микроскопии для изготовления и анализа полутонких срезов. Проводили сравнительный морфологический анализ полутонких срезов печени, коркового вещества почки и респираторного отдела легкого.
РЕЗУЛЬТАТЫ. Выявлены реактивные изменения различных клеточных дифферонов основных паренхиматозных органов: легких, печени и почек, наиболее чувствительных к таким неблагоприятным воздействиям, как радиационное облучение и различные уровни декомпрессионной венозной газовой эмболии, характерные для профессиональной деятельности личного состава надводных кораблей и подводных лодок. Именно реактивные изменения тканей на клеточном уровне являются начальным звеном формирования патологических процессов. Анализ полутонких срезов органов мышей и морских свинок выявил неспецифические реактивные изменения: вакуолизацию цитоплазмы клеток паренхимы, стаз эритроцитов в сосудах микроциркуляторного русла и формирование специфических образований – газовых пузырьков при острой ДБ. Реактивные изменения, наблюдаемые при тяжелой степени воздействия, также обнаружены в клетках и при меньших нагрузках исследуемых факторов. Характер их сохраняется, но при этом снижается интенсивность морфологических проявлений.
ОБСУЖДЕНИЕ. Исследования морфологических изменений структурно-функциональных единиц органа при острых состояниях и при накоплении клетками «остаточных изменений», ведущих к хроническому течению заболевания, необходимы для научно-обоснованной коррекции условий труда моряков, находящихся в субэкстремальных и экстремальных условиях несения службы.
ЗАКЛЮЧЕНИЕ. Морфологические исследования с использованием светооптической микроскопии выявляют начальные реактивные изменения в тканях и клетках экспериментальных животных, подвергшихся неблагоприятным факторам, характерным для профессиональной деятельности морских специалистов. Это способствует выявлению факторов морского труда, оказывающих наибольшее неблагоприятное действие на организм, и позволяет совершенствовать систему профилактики, создавая условия для увеличения профессионального долголетия специалистов флота.
Об авторах
Алексей Анатольевич МясниковРоссия
доктор медицинских наук, профессор, заслуженный работник высшей школы Российской Федерации, профессор кафедры физиологии подводного плавания
Ольга Евгеньевна Миргородская
Россия
Загир Маллараджабович Исрафилов
Россия
преподаватель кафедры физиологии подводного плавания
Сергей Павлович Колчанов
Россия
адъюнкт
Список литературы
1. Ломов О. П., Ахметзянов И. М., Соколов М. О. Физические факторы обитаемости кораблей и судов. СПб: Судостроение. 2014. 560 с. [Lomov O. P., Akhmetzyanov I. M., Sokolov M. O. Physical factors of habitability of ships and vessels. St. Petersburg: Sudostroenie, 2014, 560 p. (In Russ.)].
2. Чумаков А. В., Черкашин Д. В. Влияние военно-профессиональных факторов на здоровье специалистов Военно-Морского Флота с учетом современного состояния и перспектив развития военно-морской терапии // Известия Российской военно-медицинской академии. 2017. Т. 36, № 3. С. 15–23 [Chumakov A. V., Cherkashin D. V. The influence of military-professional factors on the health of navy specialists, taking into account the current state and prospects for the development of naval therapy. Proceedings of the Russian Military Medical Academy, 2017, Vol. 36, No. 3, рp. 15–23 (In Russ.)].
3. Одинцова Н.А. Культуры клеток морских гидробионтов // Гены и Клетки. 2019. Т. 14, № 3. С. 110-111. [Odintsova N.A. Cell cultures of marine hydrobionts. Genes and Cells. 2019, Vol. 14, No. 3, рр. 110-111. (In Russ.)].
4. Гончарова Р. И., Смолич И. И. Генетическая эффективность малых доз ионизирующей радиации при хроническом облучении мелких млекопитающих // Радиационная биология. Радиоэкология. 2002. Т. 2, No 6. С. 654–660 [Goncharova R. I., Smolich I. I. Genetic efficiency of small doses of ionizing radiation in chronic irradiation of small mammals. Radiation biology. Radioecology, 2002, Vol. 42, No. 6, pp. 654–660 (In Russ.)].
5. Гончаренко Е. Н., Антонова С. В., Ахалая М. Я., Кудряшов Ю. Б. Влияние малых доз ионизирующей радиации на уровень содержания катехоламинов и кортикостероидов в надпочечниках мышей // Радиационная биология. Радиоэкология. 2000. Т. 40, № 2. С. 160-161 [Goncharenko E. N., Antonova S. V., Akhalaya M. Ya., Kudryashov Yu. B. Effect of low doses of ionizing radiation on the level of catecholamines and corticosteroids in the adrenal glands of mice. Radiation biology. Radioecology, 2000, Vol. 40, No. 2, pp. 160-161 (In Russ.)].
6. Алехин А. Н., Иванов А. О., Петров В. А. Психофизиологические аспекты адаптации человека при длительном непрерывном пребывания в условиях пожаробезопасной искусственной газовой среды // Медико-биологические и социально-психологические проблемы безопасности в чрезвычайных ситуациях. 2015. № 3. С. 104–110 [Alekhin A. N., Ivanov A. O., Petrov V. A. Psychophysiological aspects of human adaptation during prolonged continuous stay in a fire-safe artificial gas environment. Biomedical and socio-psychological problems of safety in emergency situations, 2015, No. 3, pp.104–110 (InRuss.)].
7. Жильцова И. И., Ярков А. М., Мясников А. А. О поддержании работоспособности моряков в походе надводного корабля в условиях Заполярья // Военно-медицинский журнал. 2012. Т. 333, № 9. С. 62–67 [Zhiltsova I. I., Yarkov A. M., Myasnikov A. A. On maintaining the working capacity of sailors on a surface ship cruise in the Arctic // Military Medical Journal, 2012, Vol. 333, No. 9, pp. 62–67 (In Russ.)].
8. Зверев Д. П., Бобров Ю. М., Шитов А. Ю., Андрусенко А. Н. Роль профессора И. А. Сапова в развитии кафедры физиологии подводного плавания и аварийно-спасательного дела Военно-медицинской академии имени С. М. Кирова // Вестник Российской военно-медицинской академии. 2021. Т. 23, № 4. С. 313–322 [Zverev D. P., Bobrov Yu. M., Shitov A. Yu., Andrusenko A. N. The role of professor I. A. Sapov in the development of the department of physiology of scuba diving and emergency rescue of the Military medical academy named after S. M. Kirov. Bulletin of the Russian Military Medical Academy, 2021, Vol. 23, No. 4, pp. 313–322 (In Russ.)].
9. Василец В. М. и др. Водолазная профпатология. История и актуальность // Клиническая больница. 2015. № 2 (12). С. 34–38 [Vasilets V. M., et al. Diving occupational pathology. History and relevance. Clinical Hospital, 2015, № 2 (12), pp. 34–38 (In Russ.)].
10. Павлова О.М., Ляшко О.Г., Леонтьева И.В., Быков В.Л. Опыт преподавания дисциплины "Гистология, эмбриология, цитология - гистология полости рта" // Морфология. 2015. Т. 148, № 4. С. 78-81. [Pavlova O.M., Lyashko O.G., Leontyeva I.V., Bykov V.L. Experience of teaching the discipline "Histology, embryology, cytology - histology of the oral cavity". Morphology. 2015, Vol. 148, No. 4, рр. 78-81. (In Russ.)].
11. Кулешов В. И. Новожилова А. П., Мясников А. А., Сонин Л. Н., Мясникова О. Е. Ультраструктура клеток почек при декомпрессионной болезни у морских свинок // Гипербарическая физиология и медицина. 1996. № 4. С. 33-34 [Kuleshov V. I. Novozhilova A. P., Myasnikov A. A., Sonin L. N., Myasnikova O. E. Ultrastructure of kidney cells in decompression sickness in guinea pigs. Hyperbaric physiology and medicine, 1996, No. 4, pp. 33-34 (In Russ.)].
12. Мясников А. А., Сонин Л. Н. Миргородская О. Е. Ультраструктурные изменения в легких у животных при различной интенсивности постдекомпрессионной венозной газовой эмболии и острой декомпрессионной болезни // Морской медицинский журнал. 1999. № 4. С. 14–16 [Myasnikov A. A., Sonin L. N. Mirgorodskaya O. E. Ultrastructural changes in the lungs of animals with varying intensity of postdecompression venous gas embolism and acute decompression sickness. Marine Medical Journal, 1999, No. 4, pp. 14–16. (In Russ.)].
13. Новожилова А. П., Кулешов В. И., Мясников А. А., Миргородская О. Е., Сонин Л.Н. Структурные изменения в паренхиматозных органах у животных при различной интенсивности венозной газовой эмболии и острой декомпрессионной болезни // Морфология. 1999. Т. 115. № 2. С. 41–46 [Novozhilova A. P., Kuleshov V. I., Myasnikov A. A., Mirgorodskaya O. E., Sonin L.N. Structural changes in parenchymal organs in animals with varying intensity of venous gas embolism and acute decompression sickness. Morphology, 1999, Vol. 115, No. 2, pp. 41–46 (In Russ.)].
14. Демяшкин Г. А., Корякин С. Н., Степанова Ю. Ю., Щекин В. И., Шегай П. В. Влияние прицельного облучения электронами на гистоархитектонику почек крыс породы Wistar в дозе 8 Гр // Ветеринарный врач. 2021. № 4. С. 13–18 [Demyashkin G. A., Koryakin S. N., Stepanova Yu. Yu., Shchekin V. I., Shegai P. V. The effect of targeted electron irradiation on the histoarchitectonics of the kidneys of Wistar rats at a dose of 8 G. Veterinarian, 2021, No. 4, pp. 13–18 (In Russ.)].
15. Мясников А. А. и др. Хроническая декомпрессионная болезнь и ее диагностика // Вестник Российской военно-медицинской академии. 2018. № 4 (64). С. 26–31 [Myasnikov A. A., et al. Chronic decompression sickness and its diagnosis. Bulletin of the Russian Military Medical Academy, 2018, No 4 (64), pp. 26–31 (In Russ.)].
Дополнительные файлы
|
1. Сопроводительное письмо | |
| Тема | ||
| Тип | author.submit.suppFile.coverLetter | |
Скачать
(54KB)
|
Метаданные ▾ | |
|
2. заключение о возможности открытого опубликования | |
| Тема | ||
| Тип | common.other | |
Скачать
(213KB)
|
Метаданные ▾ | |
|
|
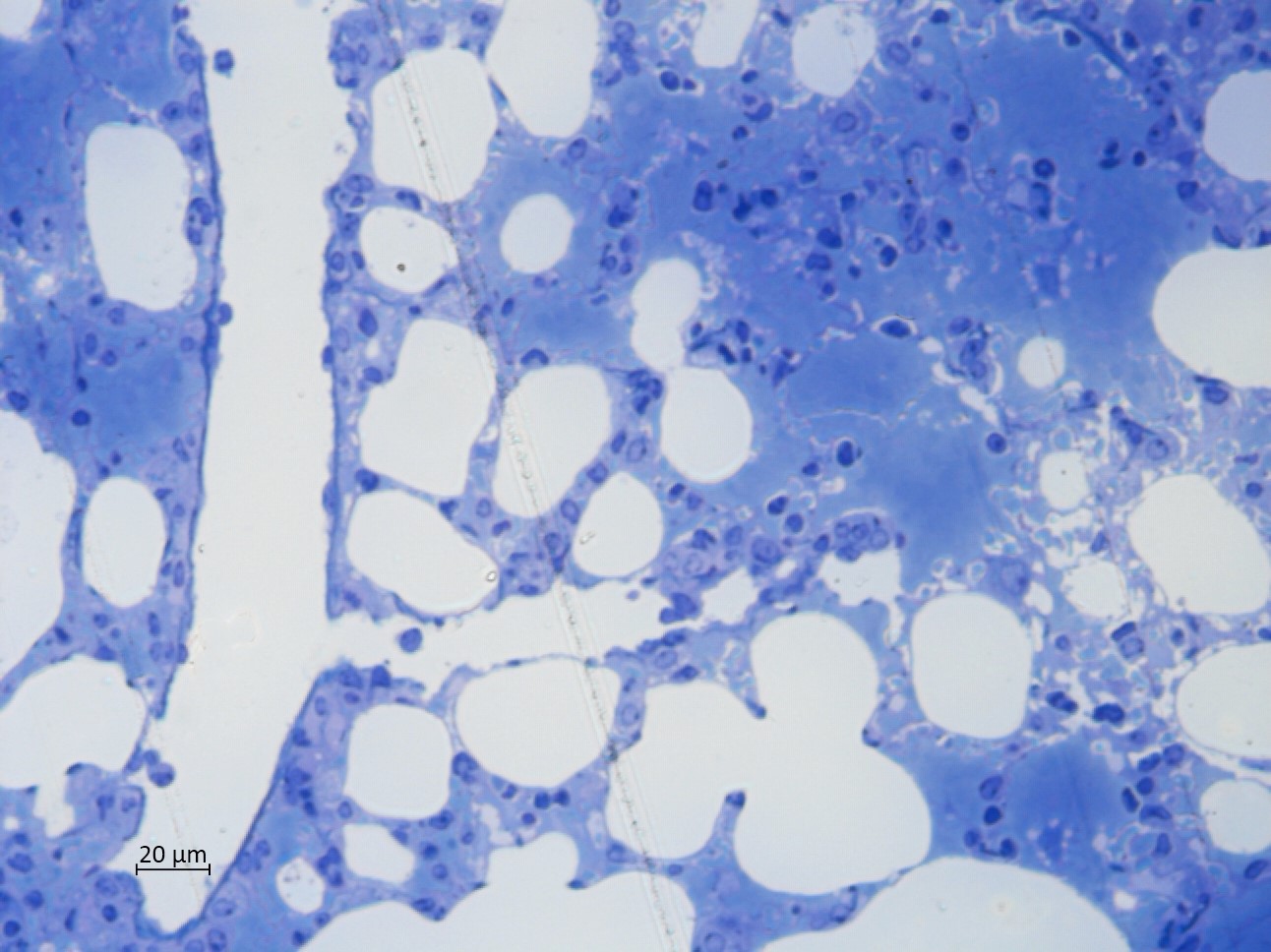
3. Рис. 1. Печень морской свинки при острой декомпрессионной болезни. Выражена интенсивная вакуолизации цитоплазмы гепатоцитов, расположенных по периферии дольки. Вакуоли более крупного диаметра, локализованные около ядра, предположительно, – газовые пузырьки. Полутонкий срез. Окраска толуидиновым синим. Масштабный отрезок – 20 мкм. | |
| Тема | ||
| Тип | author.submit.suppFile.figureResearchResults | |
Посмотреть
(935KB)
|
Метаданные ▾ | |
|
|
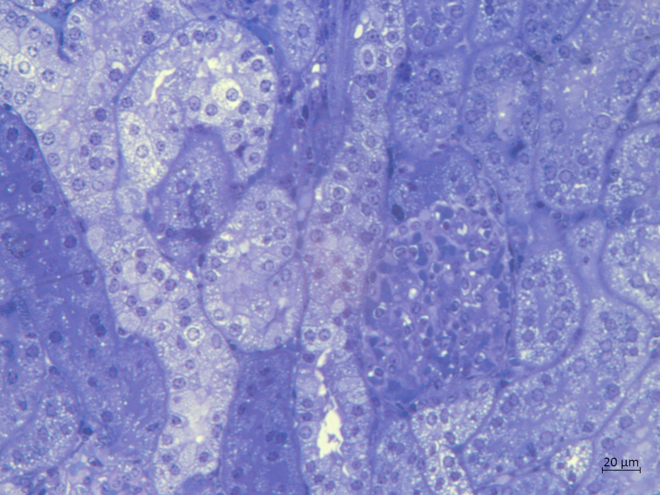
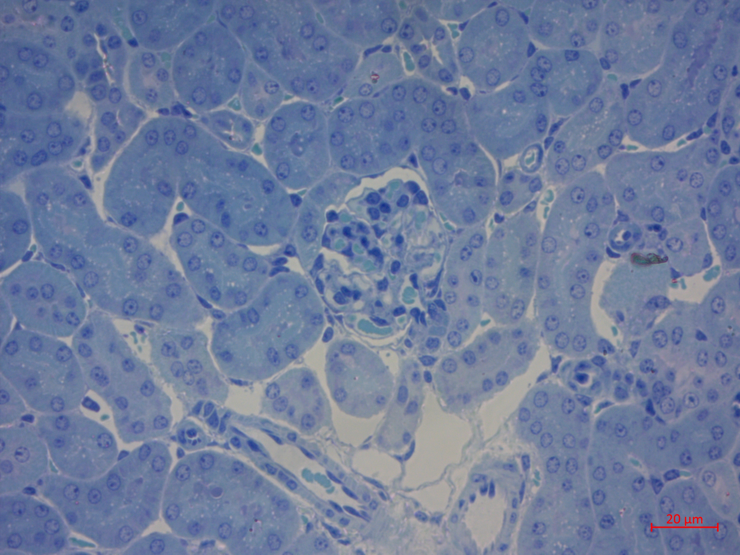
4. Рис. 2. Почка морской свинки при острой декомпрессионной болезни. Мелкодисперсная вакуолизация и более крупная вакуолизация в структурах нефронов. Стаз капилляров микроциркуляторного русла почечного тельца. Полутонкий срез. Окраска толуидиновым синим. Масштабный отрезок – 20 мкм. | |
| Тема | ||
| Тип | author.submit.suppFile.figureResearchResults | |
Посмотреть
(975KB)
|
Метаданные ▾ | |
|
|
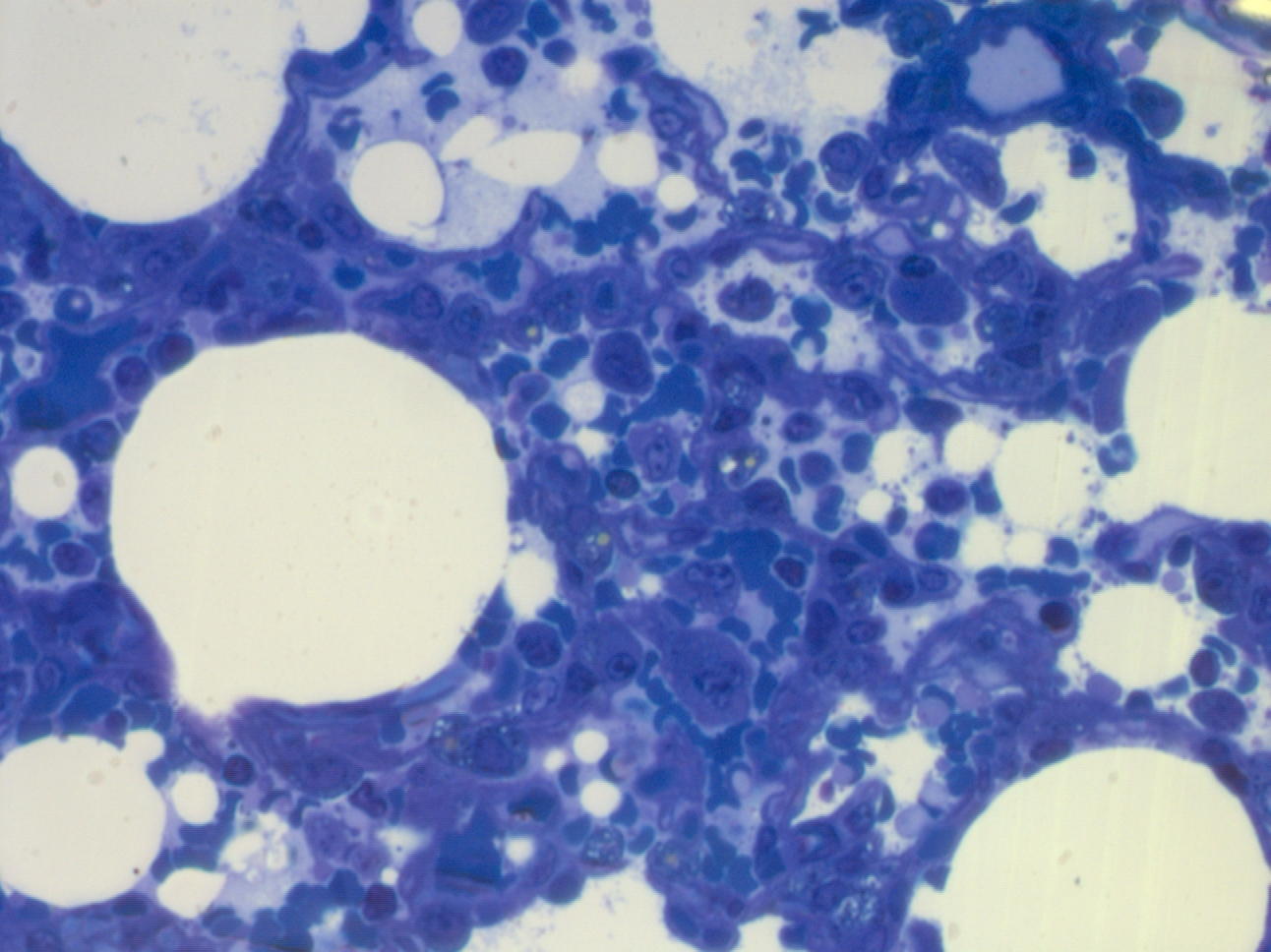
5. Рис. 3. Респираторный отдел легкого морской свинки при острой декомпрессионной болезни. Выход форменных элементов крови в просвет альвеол. Наличие пузырьков газа, деформирующих строму органа. Полутонкий срез. Окраска толуидиновым синим. Масштабный отрезок – 50 мкм. | |
| Тема | ||
| Тип | author.submit.suppFile.figureResearchResults | |
Посмотреть
(875KB)
|
Метаданные ▾ | |
|
|
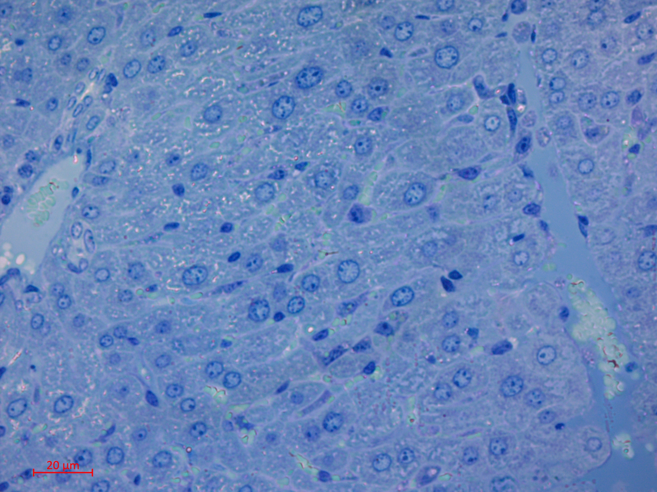
6. Рис. 4. Печень мыши при летальной дозе облучения 7,8 Гр на 9-е сутки. Гепатоциты с вакуолизированной цитоплазмой расположены в дольке равномерно. Полутонкий срез. Окраска метиленовым синим. Масштабный отрезок – 20 мкм. | |
| Тема | ||
| Тип | author.submit.suppFile.figureResearchResults | |
Посмотреть
(3MB)
|
Метаданные ▾ | |
|
|
7. Рис. 5. Почка мыши при летальной дозе облучения 7,8 Гр на 9-е сутки. Неравномерно расширенные просветы капиллярной сети почечного тельца. Мелкодисперсная вакуолизация нефроцитов канальцев. Полутонкий срез. Окраска метиленовым синим. Масштабный отрезок – 20 мкм. | |
| Тема | ||
| Тип | author.submit.suppFile.figureResearchResults | |
Посмотреть
(3MB)
|
Метаданные ▾ | |
|
|
8. Рис. 6. Респираторный отдел легкого мыши при летальной дозе облучения 7,8 Гр на 30-е сутки. Часть альвеол заполнена экссудатом. Участки аэрогематического гистона отечны. Полутонкий срез. Окраска толуидиновым синим. Масштабный отрезок – 20 мкм. | |
| Тема | ||
| Тип | author.submit.suppFile.figureResearchResults | |
Посмотреть
(205KB)
|
Метаданные ▾ | |
Рецензия
Для цитирования:
Мясников А.А., Миргородская О.Е., Исрафилов З.М., Колчанов С.П. Состояние морфофункциональных систем клетки при действии факторов морского труда: экспериментальное исследование. Морская медицина. 2024;10(4):54-62. https://doi.org/10.22328/2413-5747-2024-10-4-54-62
For citation:
Myasnikov A.A., Mirgorodskaya O.E., Israfilov Z.M., Kolchanov S.P. State of cell morphofunctional systems under action of seafaring labour factors: experimental study. Marine Medicine. 2024;10(4):54-62. https://doi.org/10.22328/2413-5747-2024-10-4-54-62


























