Preview

Интерпретация клинического анализа крови. Часть 1. Нейтрофильные гранулоциты

https://doi.org/10.22328/2413-5747-2023-9-4-7-15

Аннотация

ВВЕДЕНИЕ. Последние десятилетия характеризуются бурным внедрением в клиническую лабораторную диагностику современных автоматизированных аналитических систем – гематологических анализаторов, которые обеспечивают высокую точность результата и предоставляют врачу дополнительную (в сравнении с рутинными тестами) и часто ценную информацию. Автоматизация анализа крови сделала актуальной проблему интерпретации как новых тестов, так и «рутинных» параметров, которая важна в любом разделе клинической медицины. Поэтому данная лекция предназначена для врачей разных специальностей.


ЦЕЛЬ. Провести интерпретацию клинического анализа крови.


ОБСУЖДЕНИЕ. В рамках одной лекции сложно рассмотреть все аспекты гематологического анализа, поэтому в первой части будет исследована одна из популяций лейкоцитов – нейтрофильные гранулоциты, которые включают палочкоядерные и сегментоядерные нейтрофилы. В лекции приводятся довольно известные данные о нейтрофильных лейкоцитозах и нейтропениях. Акцент сделан на новых параметрах автоматизированного анализа крови – IG (незрелые гранулоциты), Neut-RI (индекс реактивности), Neut-GI (индекс гранулярности), MNV (средний объем нейтрофила), структурно-дисперсных характеристиках (NE-WX, NE-SFL, NE-WZ) и некоторых других. Наряду с современными параметрами отмечено значение традиционного цитологического исследования мазка крови, позволяющего выявить аномалии нейтрофилов (дегенеративно-дистрофические изменения цитоплазмы, апоптоз, патология ядер). В целом, в последние годы заметно расширились возможности лабораторной диагностики реактивных изменений (при воспалении, травме и т. д.) и болезней крови (анемии, миелодиспластические синдромы, гемобластозы и другие) на основе накопления новых знаний в области лабораторной гематологии, в том числе и о клинической значимости оценки нейтрофилов.

Об авторах

Владимир Владимирович Базарный
Уральский государственный медицинский университет
Россия

доктор медицинских наук, профессор, заслуженный деятель науки РФ, главный научный сотрудник отдела общей патологии



Дмитрий Юрьевич Соснин
Пермский государственный медицинский университет
Россия

доктор медицинских наук, профессор кафедры факультетской терапии № 2, профпатологии и клинической лабораторной диагностики



Список литературы

1. Базарный В. В., Томилов А. Ф. Цитологическая диагностика болезней крови. Екатеринбург, 2017 [Bazarny V. V., Tomilov A. F. Cytological diagnosis of blood diseases. Ekaterinburg, 2017 (In Russ.)].

2. Луговская С. А., Почтарь М. Е., Погорелов В. М. Основные исследования в лабораторной гематологии. В кн. Клиническая лабораторная диагностика: национальное руководство. 2014. Т. 1. С. 492–519 [Lugovskaya S. A., Pochtar M. E., Pogorelov V. M. Basic research in laboratory hematology. In the book. Clinical laboratory diagnostics: national guidelines, Vol. 1, pp. 492–519 (In Russ.)].

3. Луговская С. А., Почтарь М. Е. Морфология клеток костного мозга в норме и патологии. М.–Тверь: Издательство «Триада». 2018. 246 с. [Lugovskaya S. A., Pochtar M. E. Morphology of bone marrow cells in normal and pathological conditions. Moscow–Tver: Publishing House “Triada”, 2018, 246 p. (In Russ.)].

4. Льюис С. М., Бэйн Б., Бэйтс И. Практическая и лабораторная гематология. Пер. с англ. под редакцией А. Г. Румянцева. М.: ГЭОТАР-Медиа. 2009. 672 с. [Lewis S. M., Bain B., Bates I. Practical and laboratory hematology. Per. from English edited by A. G. Rumyantsev. Moscow: GEOTAR-Media, 2009, 672 p. (In Russ.)].

5. International Council for Standardization in Haematology, Writing Group, Briggs C, Culp N, et al. ICSH guidelines for the evaluation of blood cell analysers including those used for differential leucocyte and reticulocyte counting. Int J Lab Hematol. 2014, 36, 613– 627.

6. Palmer L., Briggs C., McFadden S., Zini G., Burthem J., Rozenberg G., Proytcheva M., Machin S.J. ICSH recommendations for the standardization of nomenclature and grading of peripheral blood cell morphological features. Int J Lab Hematol. 2015, Vol.37, № 3, pp. 287–303.


Дополнительные файлы

1. соглашение авторов
Тема
Тип Прочее
Скачать (1MB)    
Метаданные ▾
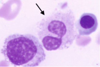
2. Таблица 4 Кольцевые ядра нейтрофилов
Тема
Тип author.submit.suppFile.figureResearchMaterials
Посмотреть (40KB)    
Метаданные ▾
3. Таблица 4 Апоптоз нейтрофилов
Тема
Тип author.submit.suppFile.figureResearchMaterials
Метаданные ▾
4. Таблица 4 Некробиоз пельгероидного нейтрофила
Тема
Тип author.submit.suppFile.figureResearchMaterials
Посмотреть (11KB)    
Метаданные ▾
5. Таблица 4 Кистевидные ядра
Тема
Тип author.submit.suppFile.figureResearchMaterials
Посмотреть (14KB)    
Метаданные ▾
6. Таблица 4 Тельца Дёле
Тема
Тип author.submit.suppFile.figureResearchMaterials
Посмотреть (10KB)    
Метаданные ▾
7. Таблица 4 Токсическая зернистость нейтрофилов
Тема
Тип author.submit.suppFile.figureResearchMaterials
Метаданные ▾

Рецензия

Для цитирования:


Базарный В.В., Соснин Д.Ю. Интерпретация клинического анализа крови. Часть 1. Нейтрофильные гранулоциты. Морская медицина. 2023;9(4):7-15. https://doi.org/10.22328/2413-5747-2023-9-4-7-15

For citation:


Bazarnyi  V.V., Sosnin D.Yu. Clinical blood test interpretation. Part 1. Neutrophil granulocytes. Marine Medicine. 2023;9(4):7-15. https://doi.org/10.22328/2413-5747-2023-9-4-7-15

Просмотров: 114

JATS XML


Creative Commons License
Контент доступен под лицензией Creative Commons Attribution 4.0 License.


ISSN 2413-5747 (Print)
ISSN 2587-7828 (Online)